Γιατί δεν έχουν πέσει ακόμα τα παλιά δόντια όταν μπήκαν τα νέα;|Chirimen
Feb 15, 2023
Αφήστε ένα μήνυμα
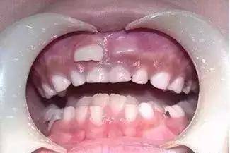
Γιατί έχω τόσα πολλά δόντια σαν καρχαρίας;» Η 6-year-old Sugar βρίσκεται στη μέση μιας περιόδου αντικατάστασης δοντιών και απροσδόκητα δύο μόνιμα δόντια έχουν συμπιεστεί πίσω από τα δόντια του γάλακτος πριν πέσουν, με αποτέλεσμα να Η ζάχαρη μοιάζει με ένα «μικρό τέρας» με δύο στρώματα δοντιών.

Τα παιδιά γίνονται διπλά δόντια «τερατάκι»; Κατηγορήστε το σε μια πολύ καλή δίαιτα
Κανονικά, όταν ένα παιδί είναι 6 ή 7 ετών, τα νεογιλά δόντια θα έχουν ολοκληρώσει την αποστολή τους και θα πέφτουν αυτόματα, ακολουθούμενη από την ανατολή των μόνιμων δοντιών, τα οποία θα γίνουν καλός σύντροφος για το υπόλοιπο της ζωής του παιδιού. Ωστόσο, ορισμένα μόνιμα δόντια των παιδιών έχουν ήδη ανατείλει, αλλά τα αντίστοιχα γαλακτοδόντια αρνούνται να «υποχωρήσουν», οπότε τα μόνιμα δόντια αναγκάζονται να «ανοίξουν δρόμο» πίσω από τα γαλακτοκομικά δόντια, σχηματίζοντας έτσι ένα μπροστινό και ένα πίσω στρώμα δοντιών. Αυτή τη στιγμή, εάν τα επίμονα νεογιλά δόντια δεν εξαχθούν έγκαιρα, θα επηρεαστεί η φυσιολογική ανάπτυξη των μόνιμων δοντιών, με αποτέλεσμα την κακή ευθυγράμμιση, την κακή ευθυγράμμιση και την κακή ευθυγράμμιση του δαγκώματος.
Η ζωή βρίσκεται στην κίνηση, όπως και τα δόντια. Ο κύριος ρόλος των δοντιών είναι να μασούν την τροφή, αφού το μωρό μεγαλώσει τα δόντια του γάλακτος, αφήστε τα δόντια να μασήσουν περισσότερη τροφή, περισσότερη «άσκηση», προκειμένου να προωθηθεί η ανάπτυξη και η ανάπτυξη της ρίζας των δοντιών του γάλακτος και σε μια ορισμένη περίοδο (6, 7 ετών) θα πέσει φυσικά, κάτι που είναι σύμφωνο με τους γενικούς νόμους της φύσης, παρόμοιο με την "πτώση του ώριμου πεπονιού". Ωστόσο, πολλοί γονείς ανησυχούν ότι τα μωρά τους πνίγονται από σκληρά πράγματα, φοβούνται ότι τα δόντια τους φτιάχνουν σκληρά τρόφιμα, το φαγητό του μωρού γίνεται πολύ καλό, τα λαχανικά κόβονται για να φάνε, τα μήλα κομμένα σε λεπτές φέτες για να φάνε, οι ξηροί καρποί αλέθονται και παρασκευάζονται για να φάνε. Αυτές οι εκλεκτές τροφές στερούνται φυτικών ινών και δεν χρειάζονται πολύ μάσημα όταν καταναλώνονται, κάτι που δεν δίνει επαρκή φυσιολογική διέγερση στα δόντια του γάλακτος, καθιστώντας έτσι αδιάσπαστη τη σύνδεση μεταξύ των ριζών των δοντιών του γάλακτος και του φατνιακού οστού. Τα μόνιμα δόντια αδυνατούν να θέσουν εκτός νόμου την αντίστοιχη θέση των δοντιών του γάλακτος, επομένως πρέπει να «βρουν άλλη διέξοδο» και να αναπτυχθούν από το πίσω μέρος των γαλακτοδοντιών, σχηματίζοντας έτσι ένα διπλό στρώμα δοντιών.
Όπως λέει η παλιά παροιμία, «ένα ελαφρύ γεύμα είναι καλό για τους ανθρώπους», η πολύ καλή τροφή δεν έχει μόνο ψευδάργυρο, σελήνιο, ασβέστιο και άλλα ιχνοστοιχεία, επηρεάζοντας την ανάπτυξη και την ανάπτυξη του μωρού, αλλά και πολύ εύκολο να καταπιεί το μωρό. τα δόντια του γάλακτος δεν μπορούν να κάνουν μια λογική άσκηση. Οι οδοντιάτροι προτείνουν στους γονείς να αφήνουν τα μωρά τους να τρώνε περισσότερες τροφές με λαστιχένιες τροφές, όπως σέλινο, καλαμπόκι, μήλα, μέδουσες, βοδινό κρέας, φιστίκια κ.λπ., ανάλογα με την ηλικία και την ικανότητα μάσησης των γαλακτοκομικών δοντιών του μωρού. Η μασητική ικανότητα των δοντιών μπορεί να αυξηθεί με την κατανάλωση αυτών των μασητικών τροφών και η δράση της μάσησης θα διεγείρει την κίνηση των μασητών μυών για να επιταχύνει την κυκλοφορία του αίματος, θα προωθήσει την ανάπτυξη του οδοντικού κρεβατιού, του οστού της γνάθου και του οστού του προσώπου και θα προωθήσει την έγκαιρη απώλεια των δοντιών του γάλακτος για να διασφαλιστεί η ομαλή αντικατάσταση των δοντιών στο μέλλον.


